お問い合わせ
ご予約はこちらから
TEL
011-893-1184
ホーム
Home
医院紹介
Company
医院の様子
appearance
診療カレンダー
calendar
診療事例
example
当院の考え方
THINKING
アクセスマップ
ACCESS
search
メニュー開閉
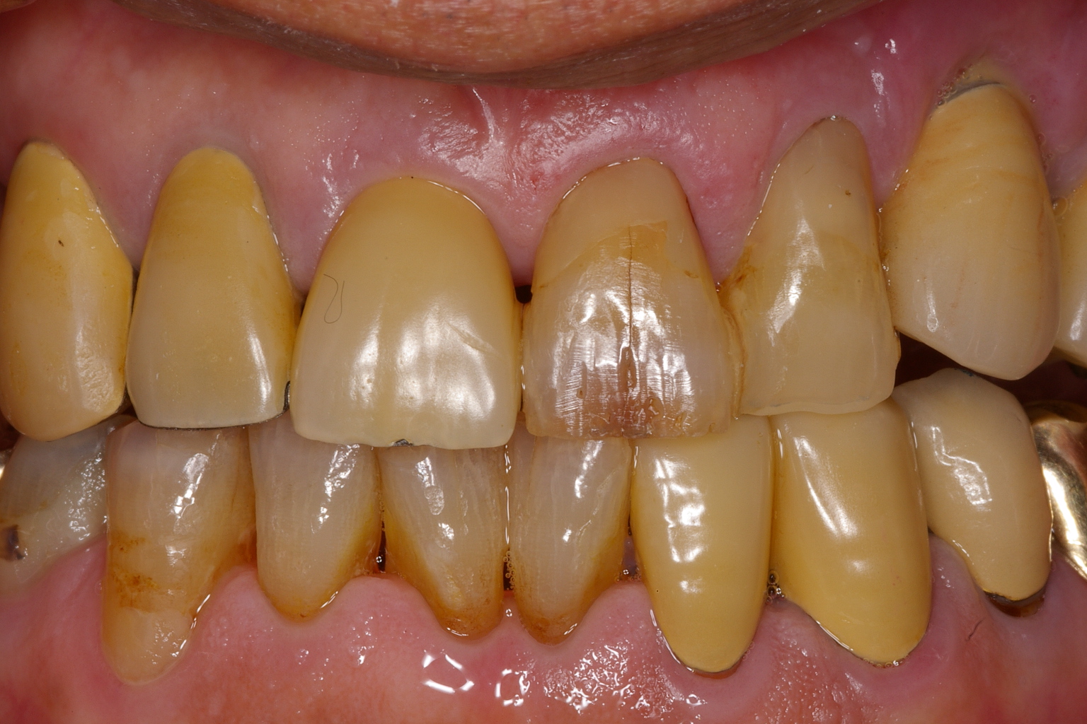
example_050
TOP
example_050
2017-08-02
example_050
シェア
Tweet
ページ一覧
HOME
医院紹介
医院の様子
診療事例
診療カレンダー
アクセスマップ
リンク
当院の考え方
インプラント
歯周病再生治療
移植
審美歯科
デンチャー
お問い合わせ
プライバシーポリシー
サイトマップ
お問い合わせありがとうございました
カテゴリー
カテゴリーなし
1